fluorescência é um desafio?
- DNA Genotek
- Toda Categoria
15th dezembro, 2020
0 Comentários
A Eletroquímica é a ciência base por trás da maioria dos equipamentos da linha PAR e Solartron.
22nd setembro, 2020
Quer conhecer mais sobre os sequenciadores da Oxford Nanopore?
Entenda mais como como funciona
6th agosto, 2020
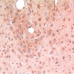
Microscopia de Campo Claro
Na técnica de campo claro a luz passa pela amostra e ao redor dela, formando
5th agosto, 2020
Espectrômetro FT-NIR
Os principais benefícios da espetroscopia FT-NIR consistem na sua versatilidade e
5th agosto, 2020
O espectrômetro FT-IR ALPHA II da Bruker fornece uma solução rápida, confiável e universalmente


































